| WwW.WeBCaNaVaRi.NeT |
>
.::| Genel - Kişisel |::.
>
Sağlık
(Moderatör:
WeBCaNaVaRi
)
Konu: Aplastik Anemi
Ana Sayfa
ARAMA
Yardım
Üyeler
Giriş Yap
Kayıt
Bize YAZ
0 Üye ve 1 Ziyaretçi Konuyu İncelemekte.
Mesaj Araçları
Bu Konuda Ara
Sayfa
1
Konu: Aplastik Anemi (Okunma Sayısı: 1064 Kere Okundu.)
«
:
Ağustos 04, 2011, 11:49:41 ÖÖ »
Anqel*
Üye No :
21465
Nerden :
Mardin
Cinsiyet :
Konu Sayısı :
5208
Mesaj Sayısı :
17 797
Karizma =
50131
Aplastik Anemi
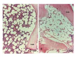
Aplastik anemi, kemik iliğinin yeteri kadar veya hiç yeni hücre üretememesi durumudur.
Aplastik terimi yeni dokular meydana getirebilme yeteneğinden yoksun olan, fonksiyonunu tam icra edemeyen manasına gelir ve burada kemik iliğinin fonksiyonunu tam olarak icra edememesini işaret eder. Anemi kan hücrelerinin sayısının normalden düşük olması durumudur. Tipik olarak anemi düşük eritrosit (alyuvar - kırmızı kan hücresi) sayımını tanımlar ama aplastik anemi hastalarında üç kan hücresi tipininin de sayımı düşüktür; yani eritrosit (alyuvar), lökosit (akyuvar) ve trombosit sayımları genel olarak düşüktür..
Sebepleri
Aplastik aneminin bilinen sebeplerinden biri bir tür otoimmün bozukluktur. Bu bozuklukta lökositler (akyuvarlar) kemik iliğine saldırır.
Birçok vakada etiyolojiyi tespit etmek mümkün değildir. Yine de, bazen aplastik anemi çeşitli maddelere (benzen gibi) maruz kalma veya belli ilaçları (kloramfenikol gibi) kullanma ile ilişkilendirilebilir.
Aplastik anemiler doğuştan olabildikleri gibi sonradan da oluşabilirler.
Semptomlar
- Anemi ile beraber vücutta kırıklık hissi, solgunluk ve ilgili semptomlar
- Trombositopeni (düşük trombosit sayımları - trombosit sayısının normalden düşük olması), şiddetli kanama ve berelenme riskinin artmasına yol açar
- Nötropeni (nötrofil sayısının normalden düşük olması)
Tedavi
Aplastik anemi tedavisi bağışıklık sisteminin günlük ilaç alımıyla bastırılması veya ciddi vakalarda kemik iliği naklini içerebilir.
Kemik iliği naklinde eski kemik iliği hücreleri bir vericiden alınan yeni hücrelerle değiştirilir. Böylece hasta yeni bir bağışıklık sistemine kavuşmuş olur. Yine de bu yeni üretilen lökositlerin (akyuvarların) vücudun geri kalan bölümüne saldırma riski mevcuttur ("graft-versus-host hastalığı").
WebCanavari
WeBCaNaVaRi Botu
Bu Site Mükemmel :)
Çevrimİçi
Mesajlar: 222 198
Re: Aplastik Anemi
«
Posted on:
Aralık 07, 2025, 05:57:44 ÖS »
Merhaba Ziyaretçi. Öncelikle Sitemize Hoş Geldiniz. Ben WeBCaNaVaRi Botu Olarak, Siteden Daha Fazla Yararlanmanız İçin Üye Olmanızı ŞİDDETLE Öneririm. Unutmayın ki; Üyelik Ücretsizdir. :)
Anahtar Kelimeler:
Aplastik Anemi e-book, Aplastik Anemi programı, Aplastik Anemi oyunları, Aplastik Anemi e-kitap, Aplastik Anemi download, Aplastik Anemi hikayeleri, Aplastik Anemi resimleri, Aplastik Anemi haberleri, Aplastik Anemi yükle, Aplastik Anemi videosu, Aplastik Anemi şarkı sözleri, Aplastik Anemi msn, Aplastik Anemi hileleri, Aplastik Anemi scripti, Aplastik Anemi filmi, Aplastik Anemi ödevleri, Aplastik Anemi yemek tarifleri, Aplastik Anemi driverları, Aplastik Anemi smf, Aplastik Anemi gsm
Yanıtla #1
«
:
Ağustos 04, 2011, 11:53:53 ÖÖ »
olric
Üye No :
79669
Nerden :
İstanbul
Cinsiyet :
Konu Sayısı :
33
Mesaj Sayısı :
1 626
Karizma =
1054
Ynt: Aplastik Anemi
çok teşekkürler bilgiler için
hayatımın gümüş bahçelerini sularken
mutluluğu aradım gümüşten gözlerim karardı
mavi sarı renkleri unuttum
kırmızı kandan mı yoksa tutkudanmıdır
sorarım kendime
cevap tamamen kuşkucu beynimde....
Sayfa
1
Gitmek istediğiniz yer:
Gitmek İstediğiniz Yer:
-----------------------------
.::| Board Genel |::.
-----------------------------
=> - WeBCaNaVaRi Yaş Konuları
=> Board'dan Duyurular.
===> 2008 Sene'sinin En'leri..
===> 2009 Sene'sinin En'leri..
===> 2010 Sene'sinin En'leri..
===> 2011 Sene'sinin En'leri..
===> 2012 Sene'sinin En'leri..
===> 2013 Sene'sinin En'leri...
===> 2014 Sene'sinin En'leri...
===> 2015 Sene'sinin En'leri...
=> Kurallar.
===> Öneri
===> Şikayet
=> Nick Değiştirmek İstiyorum.
=> Forum Kullanımı.
=> Tebrikler & Kutlamalar.
=> WeBCaNaVaRi İçin Yaptıklarınız.
===> Üyelere Özel Şiir & Resim.
===> WC Özel Şarkı & Sözler.
===> WC Özel Slayt & Videolar.
===> WC Özel Resimler.
-----------------------------
.::|~ ⱷ Üye Tanışma & Kaynaşma ⱷ ~|::.
-----------------------------
=> Tanışalım Kaynaşalım.
=> Üyelerimizin Küçüklük Fotoğrafları
=> Üye Biyografisi
===> Üye Hobileri
===> Üye Fobileri
=> -> Ayın Üyesi <-
=> -> Haftanın Konuğu <-
=> Dedikodular
===> İftiralar
===> İtiraflar
===> Nefret Ediyorum
-----------------------------
.::|~ ♠ Eğlence ♠ ~|::.
-----------------------------
=> Sohbet Edelim.
=> Geyik Muhabbeti
===> Anketler
===> Komik Resimler
===> Korku Odası
===> Beyin Fırtınası
===> Münazara
===> Fan Club
===> Fıkralar
===> Masal ve Hikayeler
===> Kişisel Sayfalarınız
===> Hatıra Defteri
=> Biyografiler
===> Bilim Adamları
===> Sanatçılar
===> Sporcular
===> Devlet Adamları ve Siyasiler
=> Serbest Kürsü.
=> Board Oyunları.
=> Yarışmalar.
===> Yarışma Sonuçları.
=> Kara Kalem Çizimleriniz.
=> Her Telden.
===> Hayvanlar Alemi
===> Masaüstü Resimleri
===> İlginç - Garip Şeyler
===> Motorlu Araçlar ve Modifiye
===> Bitki Dünyası.
-----------------------------
.::|- Videolar -|::.
-----------------------------
=> Karışık Videolar.
===> Komik Videolar
===> Korkunç Videolar
===> Spor Videoları
===> Kendi Videolarınız
===> Klipler
===> Aşk Videoları
=> Diziler
===> Kurtlar Vadisi
===> Kuzey Güney
===> Behzat Ç.
===> Ezel
===> Aşk-ı Memnu
===> Arka Sıradakiler
===> Çocuklar Duymasın
===> Yaprak Dökümü
===> Asmalı Konak
===> Suskunlar
===> Kurt Seyit ve Şura
===> Bir Aşk Hikayesi
===> Avrupa Yakası
===> Karadayı
===> Çalıkuşu
===> Kaçak Gelinler
===> Seksenler
===> The Walking Dead
===> Game Of Thrones
===> Arrow
===> Once Upon a Time
===> The Vampire Diaries
===> Flash
===> Vikings
===> Dexter
===> Forever
===> Teen Wolf
===> Beauty and the Beast
===> Rizzoli & Isles
===> House M.D.
=> Tv Programları
===> Güldür Güldür
===> Evleneceksen Gel
===> Esra Erol'la İzdivaç
===> Herşey Dahil
===> Bu Tarz Benim ( show )
===> Bu Tarz Benim ( tv8 )
===> Evrim Akın ile Ev Kuşu
===> O Ses Türkiye
===> Beyaz Show
===> Müge Anlı ile Tatlı Sert
-----------------------------
.::| Rock Forever ~ Rap Forever |::.
-----------------------------
=> Gothic Genel
===> Rock Müzik & Gruplar
===> Gothic Resimler
===> Gothic Şiirler
===> Gothic Hikayeler
=> Punk Genel
===> Punk Resimler
===> Punk Gruplar
===> Emo Genel
===> Emo Resimler
=> Rap Genel
===> T-Rap Full Albüm
===> Rap Mp3
===> Mc & Rapper Resimleri
===> T-Rap Haberler Organizasyonlar
=> HipHop Genel
===> Grafity Yazı & Foto
===> Hip-Hop Sözleri
===> Rap Videoları
===> Yabancı Rap Hakkında Herşey
-----------------------------
.::|~ ☼ Kültür ☼ ~|::.
-----------------------------
=> Genel Kültür.
===> Türk Kültürü
===> Şiir Köşesi
===> Sözde Ermeni Soykırımı
===> Dünya Tarihi
===> Dünya Kültürleri
===> Kim, Kimdir ?
=> Kore Fanları
===> Kore Kültürü
===> Kore Magazin
===> Güney Kore
===> Kore Yemekleri
===> Koreli Ünlüler
=====> Erkek Oyuncular
=====> Bayan Oyuncular
===> Kore Müzikleri
===> Koreli Müzik Grupları
=> Güncel Haberler
=> Sinema & Tiyatro ve Festivaller.
=> Bilim - Teknoloji ve Bilim Adamları
=> Televizyon & Radyo & Magazin
=> Psikoloji
=> Fotoğrafçılık
=> Hayata Dair.
===> Güncel Sorunlar & Hayat
-----------------------------
.::|~ ♯ Şanlı Türk Tarihi ♯ ~|::.
-----------------------------
=> Atatürk Köşesi
===> O Şimdi Asker
===> Şanlı Mehmetciklerimiz Genel
=> Şehitlerimiz
===> Şehitlerimiz İçin Şiirler
===> Şehitlerimiz İçin Videolar
=> Tarihi Eserlerimiz
-----------------------------
.::|~ ♯ Adım Adım Türkiye ♯ ~|::.
-----------------------------
=> Türkiye.
===> Marmara Bölgesi
===> Ege Bölgesi
===> Karadeniz Bölgesi
===> Akdeniz Bölgesi
=> İç Anadolu Bölgesi
===> Güneydoğu Anadolu
===> Doğu Anadolu
=> Ulaşım
===> İstanbul Ulaşım
===> Ankara Ulaşım
===> İzmir Ulaşım
===> Marmara Bölgesi Ulaşım
===> Akdeniz Bölgesi Ulaşım
===> Karadeniz Bölgesi Ulaşım
===> Ege Bölgesi Ulaşım
===> Doğu Bölgesi Ulaşım
=> Turizm, Gezi, Seyahat ve Tatil
-----------------------------
.::|~ Ѽ Dünya Dinleri Ѽ ~|::.
-----------------------------
=> Kur'an-ı Kerim.
===> Sure Meal'leri
===> Sure Mp3'leri
=> İslam
===> İslami Programlar
===> Dini Resimler
===> İlahi Sözler
===> İslamda Aile
===> Ramazan Özel
===> İslam'i Şiirler
=> Fıkıh Hakkında.
===> Mezhepler
===> Helal ve Haramlar
===> Tesettür ve Setr-i Avret
===> Peygamberler ve Alimler
===> Ahlak Bilgileri
===> Merak Edilen Konular
=> Dini Hikayeler
=> Diğer Dinler ve Bilgiler
===> Hinduizm
===> Budizm
===> Yahudilik
===> Hristiyanlik
-----------------------------
.::| $ Eğitim & Öğretim $ |::.
-----------------------------
=> Genel Konular
===> İlköğretim
===> Dersler
===> Üniversiteler
===> İcatlar
===> Meslekler
===> Sınavlar
===> Diğer Diller
=> Açık Öğretim / AÖF
===> AÖF 1. Sınıf Ders Notları
===> AÖF 2. Sınıf Ders Notları
===> AÖF 3. Sınıf Ders Notları
===> AÖF 4. Sınıf Ders Notları
=> Ödev İstekleri
=> Ödev Arşivi
===> Biyoloji
===> Coğrafya
===> Edebiyat
===> Felsefe
===> Fizik
===> Halkla İlişkiler
===> Hukuk
===> Jeoloji
===> Kimya
===> Maliye
===> Matematik
===> Muhasebe
===> Psikoloji ve Sosyoloji
===> Tarih
===> Tekstil
===> Ziraat
===> Mitoloji
===> Yabancı Tarih
=> Kitaplar Hakkında Bilgi ve Özetler
=> Amatör Hikayeler
=> Deyimler Sözlüğü
=> Kariyer ve Kişisel Gelişim
-----------------------------
.::| Genel - Kişisel |::.
-----------------------------
=> Kadınca
===> Burçlar
===> Çocuk Gelişimi
===> Gebelik ve Çocuk Bakımı
===> Kız İsimleri
===> Moda & Güzellik
===> Ev Dekorasyonu
===> Tesettür
===> Evlilik ve Aile
===> Nasıl Yapılır?
=> Erkek Erkeğe
===> Erkek İsimleri
=> Sağlık
===> Alternatif Tıp
===> Ağız ve Diş Sağlığı
===> Göz Sağlığı
===> Kulak Burun Boğaz
===> Duyu Sistemleri
===> Şifalı Bitkiler
===> Diyet
===> Diyabet Hastalığı
===> Kadın Hastalıkları
===> Sağlık Kuruluşları
===> Kanser Hastalığı
===> Cilt Hastalıkları
===> Kalp ve Damar Hastalıkları
===> Beyin ve Sinir Sistemi
===> Ruh Sağlığı
===> Cinsel Sağlık
===> İlaçlar
===> İlaç Yan Etkileri
===> Doktorlar
===> Yurtdışı Sağlık Merkezleri
=> Engelliler Forumu
=> Yemek & Tatlı Tarifleri
===> Bisküvi - Kurabiye
===> Çorbalar
===> Dolmalar
===> Et Yemekleri
===> Hamur İşleri
===> Kekler - Pastalar
===> Tatlılar
===> Köfteler
===> Salatalar
===> Sebze Yemekleri
===> Bebek Yemekleri
=> Rüya Tabirleri
===> A - B - C
===> D - E - F
===> G - H - I
===> İ - J - K
===> L - M - N
===> O - Ö - P
===> R - S - Ş
===> T - U - Ü
===> V - Y - Z
=> Ürün Satış Bölümü
-----------------------------
.::| BodyForum |::.
-----------------------------
=> Beslenme & Supplement ve Yağ Yakıcılar
=> Antrenman
===> Bodybuilding & Fitness
===> Vücut Geliştirme ve Egzersizler
===> Güç Sporları
===> Çeşitli Makaleler
-----------------------------
.::|♥ Aşk & Sevgi ♥|::.
-----------------------------
=> Aşıklar Cafesi
===> Aşk'a Dair
===> Aşk Yardım
=> Aşk Şiir - E-Kart - Sms - Mektup ve Öyküleri
===> Aşk Üzerine E-Kartlar
===> Aşk SMS Sözleri
===> Aşk Mektupları
===> Aşk Öyküleri
-----------------------------
.::|~ WeBCaNaVaRi Müzik Kulubü ~|::.
-----------------------------
=> Şarkı Sözleri
===> Türkü Hikayeleri
===> Türküler
===> Türkçe Sözler
===> Yabancı Sözler
=> Konserler ve Müzik Haberleri
=> Albüm Tanıtım
=> Notalar
-----------------------------
| ~ WeBCaNaVaRi Taraftar Bölümü ~|
-----------------------------
=> Türk Futbolu
===> Fenerbahçe
===> Galatasaray
===> Beşiktaş
===> Trabzonspor
===> Anadolu Takımları
===> Dünya Kupaları
=> Futbolcu Biyografileri
===> A B C D E
===> F G H I İ
===> J K L M N
===> O Ö P R S
===> Ş T U Ü V
===> Y Z W Q X
-----------------------------
.::|~ ♣ Notebook ♣ ~|::.
-----------------------------
=> NoteBook Bilgi & Resim ve Yardım
=> Driverlar.
===> Acer
===> Toshiba
===> Asus
===> Vestel
===> Hp
===> Datron
===> Diğer Markalar
===> Tek Driverlar
-----------------------------
.::|~ Bilgisayarım ~|::.
-----------------------------
=> İşletim Sistemleri
===> Linux
===> Windows
===> Macintosh
===> Bilgisayar & Sistem Sorunları
=> Network ve İnternet
===> Bilgisayar Güvenliği
===> Hack & Güvenlik
===> Donanım
-----------------------------
.::|~ Web Tasarım ~|::.
-----------------------------
=> Webmaster Genel
===> Html Dökümanlar
===> Visual Basic
===> Php ve Asp Dilleri
===> Template
===> Script Merkezi
===> İstek & Yardım
=> CMS Sistemler
===> Wordpress
===> Joomla
=> Photoshop
=> Smf Genel ve Temalar
===> Modifiye
=> vBulletin
===> Genel Ayarlar
===> Temalar & Modifiyeler
=> Google ve Adsense Hakkında Herşey.
-----------------------------
.::|~ ♣ Program & Messenger ♣ ~|::.
-----------------------------
===> A B C D E
===> F G H I İ
===> J K L M N
===> O Ö P R S
===> Ş T U Ü V Y Z
===> W - Q - X
===> Program Anlatımları
=> MSN & ICQ Messenger
===> Yahoo Messenger
===> Skype Messenger
-----------------------------
.::| ~ Mobil Cihazlar ~ |::.
-----------------------------
=> Gsm
===> Genel
===> Android
===> Pc Software
===> Java Oyun
===> Temalar
===> Midi,Waw,Amr
=> Cep Telefonu Tanıtım
===> Nokia
===> Sony Ericson
===> Samsung
===> Siemens
===> Motorola
===> Apple IpHone, IPad
===> Xiaomi
===> Huawei
===> Oppo
===> Honor
===> Oneplus
=> Mp3 Player & Video Player & Oyun Konsolları
===> Avuç İçi Bilgisayar
===> Fotoğraf ve Kamera
-----------------------------
.::|~ Oyun Dünyası ~|::.
-----------------------------
=> Tüm Oyunlar
===> Oyun Haberleri
===> Oyun Yamaları
===> Oyun Hileleri
===> Oyun Yardım
=> Online Oyunlar
===> Counter Strike
===> Knight Online
=> Football Manager
===> Championship Manager
=> Ps2ve Tüm Oyun Konsolları
-----------------------------
.::|~Çöp Kutusu~|::.
-----------------------------
=> Çöplük
=> Arşiv.
Yazdır
Gelişmiş Arama
cb soft
web tasarım
web script
can baran
Theme: WeBCaNaVaRi 2011
Copyright 2011 Simple Machines
SiteMap
|
Arsiv
|
Wap
|
imode
|
Konular
Yükleniyor...
Yararlı Linkler
Kadınca Forum
Msn Nick
İLETİŞİM
Gelişmeler
Yeni Mesajlar
Mesajlarıma Yazılan Cevaplar
Forumları Okundu Kabul Et
Profiliniz
Üyelik Ayarlarınız
Kimlik Bilginiz
Forum Ayarlarınız
Çeşitli
Özel Mesajlar
Daha Fazla İstatistik
Kimler Online
Hızlı Arama
Gelişmiş Arama